www.odontobarth.com


Ir para o conteúdo

Doenças Periodontais

Odontologia

Gengivite
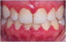
A inflamação das gengivas é conhecida como gengivite. Pode desenvolver-se tanto em crianças como em adultos se estes não escovarem os dentes e utilizarem o fio dental corretamente. A condição é causada pelo efeito irritante da placa bacteriana, um depósito aderente de fragmentos de alimentos, saliva e bactérias que se forma nos dentes e nas bordas da gengiva.

QUAIS SÃO OS SINTOMAS?
Gengivas vermelhas, inflamadas e sensíveis.
Tendência de sangramento das gengivas, quando escovadas.
A gengivite é um problema simples e reversível. Contudo, se não for controlada, pode progredir para uma infecção séria, com o risco de perda dos dentes. Consulte regularmente o seu dentista, pois ele saberá orientar você de como fazer uma higiene bucal adequada.

QUAL É O TRATAMENTO?
Primeiramente, o dentista irá remover fatores retentivos de placa bacteriana, como o cálculo dental (tártaro) e eliminar os excessos de restaurações ou próteses, se houver. Depois, dará instruções de higiene bucal, como o uso correto da escova e do fio dental. Não há fórmula mágica para tratar a gengivite, basta fazer uma adequada higiene bucal. Casos mais extremos, em que o uso de medicamentos - ciclosporina, fenitoína e nifedipina - agravam a situação, poderão exigir outras medidas, como a substituição da medicação (isso deverá ter sua viabilidade discutida com o médico do paciente), cirurgias de correção da gengiva (gengivectomias), ou o uso de soluções antissépticas para bochecho.

Periodontite
A periodontite é uma condição inflamatória que acomete todo o periodonto, afetando o ligamento periodontal (fibras que ligam os dentes aos maxilares) e o osso alveolar. À exemplo da gengivite, é causada pela placa bacteriana. Esta se aloja no sulco gengival (espaço entre a gengiva e o dente) e ali ataca essas estruturas. Existem dois tipos de Periodontite:
Periodontite de adulto, que acomete pessoas maiores de 35 anos. Alguns fatores podem agravar essa doença, como o hábito de fumar e o diabetes;
Periodontite de estabelecimento precoce (PEP), que acomete jovens, tem um caráter genético e que a literatura têm associado à presença de bactérias agressivas, as actinobaciloactinomicetencomitans.

QUAIS SÃO OS SINTOMAS?
Gengivas vermelhas, inflamadas e sensíveis com tendência de sangramento quando escovadas;
Presença de bolsas periodontais com sangramento;
Perda óssea, perda de inserção e mobilidade dentária;
Mau hálito.
Perda de dentes que foram ficando "moles"

QUAL É O TRATAMENTO?
Primeiramente, procede-se o tratamento da gengivite, enfatizando a necessidade de o paciente fazer uma adequada higienização para se conseguir bons resultados. Então, passa-se a fazer raspagens subgengivais (abaixo das genvivas) para remover depósitos de placa bacteriana e cálculo dental ali presentes. Em alguns casos podem ser necessárias cirurgias para uma adequada raspagem. Ao contrário da gengivite, que é reversível, a periodontite não é. Consegue-se obter a cura, freando a perda de osso e ligamento, mas o que foi perdido não se consegue mais recuperar.


Home page | Apresentação | O Consultório | Agendamento | Lema | Curriculum | Combate ao fumo | Localização | Odontologia | Trabalho Científico | Contato | Links | Mapa do site


Voltar para o conteúdo | Voltar para menu principal